8 (800) 555-10-42
Ежедневно: 09.00-21.00
  • Выбрать клинику
    • Москва, Шмитовский проезд
    • Москва, Брюсов переулок
    • Москва, Островитянова
    • Санкт-Петербург, Беринга
    • Казань, Чистопольская
    • Казань, Агрономическая
    • Тюмень, Герцена
    • Тюмень, Зелинского
    • Курган, Бурова-Петрова
    • Екатеринбург, Карла Маркса
Logo
  • Что мы лечим
    • Лечение позвоночника
    • Лечение суставов
    • Лечение остеохондроза
    • Лечение сколиоза
    • Другие заболевания
  • О нас
    • О методике
    • Об авторе методики
    • Специалисты
    • Наши видео
    • Акции
    • Отзывы
    • Мы в СМИ
  • Статьи
  • Цены
  • Контакты
Logo
  • Лечение позвоночника
  • Лечение суставов
  • Консультация по МРТ
  • Что мы лечим
  • Стоимость услуг
  • О нас
    • О методике
    • Об авторе методики
    • Наша команда
    • Акции
    • Наши видео
    • Мы в СМИ
  • Отзывы
  • Книга автора методики
  • Статьи
  • Адреса клиник
8 (800) 555-10-42
Ежедневно: 09.00-21.00

Главная / Заболевания/ Остеохондропатия

Остеохондропатия

Авторская методика лечения остеохондропатии БЕЗ операции и  применения лекарственных препаратов
Лечение остеохондропатии БЕЗ операции
Современный эффективный метод лечения
Курс лечения на основе данных обследований
Лекарства здесь бессильны
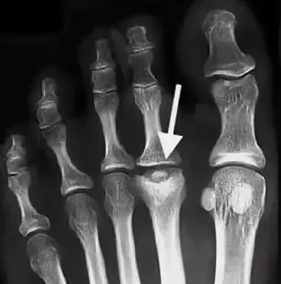
остеохондропатия
Ощущаете боль в суставе, которая мешает двигаться и жить полноценной жизнью? Сначала это незначительная боль, затем ограничение подвижности, и вот вы уже избегаете привычных физических нагрузок. Возможно, это не просто усталость, а остеохондропатия – заболевание, поражающее костную ткань и хрящи в период активного роста.
Считается, что проблемы с суставами свойственны пожилым людям, но остеохондропатии чаще проявляются у детей. Хотите узнать, как распознать эту болезнь, чтобы предотвратить последствия для здоровья ребенка, читайте дальше. В статье разбираемся в причинах, симптомах и методах лечения остеохондропатии тела
  • Что такое остеохондропатия?
  • Классификация очагов дегенерации и дистрофии кости
  • Симптомы
  • Причины развития
  • Эффективное лечение
  • Профилактика
  • Вопросы и ответы

Проверил
Очеретин Павел Борисович
Главный врач Центра доктора Очеретиной, мануальный терапевт, спортивный врач

Стаж работы 14 лет

Дата публикации: 12.09.2025 

Время чтения 9 минут

Что такое остеохондропатия?

Заболевания, поражающие костно-мышечный аппарат, чаще распространены среди людей старшего возраста. Но в случае остеохондропатии ситуация иная: болезни проявляется во время интенсивного роста организма. Как правило, выявляется у пациентов 10-18 лет, отличающихся спортивным телосложением.

У взрослых пациентов с дегенеративными изменениями суставов диагностируется остеоартроз, у которого признаки схожи с асептическим некрозом

Остеохондропатии детей и подростков представляют группу заболеваний с продолжительным циклическим течением, нарушением трофики и гибелью клеток костной ткани. Болезни объединяются общим механизмом развития, но различаются по локализации и клиническим проявлениям. Бывают первичными и вторичными.

  • Первичная форма возникает в детском возрасте и обусловлена воздействием сосудистых, возрастных и гормональных факторов. Большое значение в развитии этой патологии имеют ускоренный рост скелета и особенности строения костей.
  • Вторичная (или симптоматическая) форма – осложнение основного заболевания. Она прогрессирует в результате ишемии костной ткани, васкулита, дегенеративно-метаболических расстройств, нейротрофических и эндокринных нарушений и других болезненных состояний.
Рентгенологическая диагностика и анализ вторичных проявлений показывает, что происходит рассасывание и замещение поврежденных участков костной ткани. Асептический остеохондронекроз протекает циклически, с последовательной сменой фаз:
  • некроз костных тканей без признаков воспаления;
  • патологические переломы в ослабленной зоне;
  • элиминация (путем резорбции) нежизнеспособных костных фрагментов;
  • восстановление костной ткани.

Повреждение хрящевой ткани увеличивает риск развития стойких нарушений его функции. Заболевание протекает длительно, имея хронический характер. Своевременное лечение повышает шансы на благоприятный исход и восстановление функции суставов.

Классификация очагов дегенерации и дистрофии кости

Эпифизарные области трубчатых костей

Конец бедренной кости, головки второй и третьей плюсневых костей, а также грудинный конец ключицы

Губчатые кости

Такие как коленная чашечка, кости стопы и кистей, тела позвонков и кость в толще сухожилия сгибателя первого пальца

Апофизы костей

Включая бугристость большеберцовой и пяточной костей, апофизы позвонков и лобковую кость

Области поверхностей

Головки бедра, локтевого и голеностопного суставов, головки плечевой кости
Тестирование тела. Это бесплатно.
Врач подробно изучит Ваши ответы и даст своё заключение
Тестирование тела. 
Это бесплатно.
Врач подробно изучит Ваши ответы и даст своё заключение

Симптомы остеохондропатий

Болезнь Шинца, асептический остеонекроз пяточной кости

Обычно поражает девочек от 12 до 16 лет и проявляется постепенно усиливающейся или острой болью в области пяточного бугра после физических усилий. Характерным признаком является припухлость в месте прикрепления ахиллова сухожилия к пятке. В результате пациенты начинают опираться на носок при ходьбе, а спортивные упражнения и прыжки становятся невозможными

Остеохондропатия позвоночника

Чаще выявляется у юношей в 11–18 лет. На начальном этапе отмечается увеличение грудного кифоза. Вторая стадия характеризуется болями в спине, особенно при длительной ходьбе, ослаблением мышц спины и прогрессированием грудного кифоза. На заключительной стадии апофизы сливаются с позвонками. Впоследствии развивается остеохондроз, сопровождающийся нарастающим болевым синдромом

Остеонекроз бедренной кости

Наблюдается у мальчиков в возрасте 4–12 лет. Вначале болезнь никак не проявляет себя, затем появляются боли в бедре, отдающие в колено после нагрузки, которые стихают в состоянии покоя. Из-за этого дети не всегда жалуются на боль. Постепенно ограничивается подвижность в тазобедренном суставе, возникает атрофия мышц, и пораженное бедро уменьшается в объеме

Болезнь Шлаттера

Повреждение бугристости большеберцовой кости, развивается у мальчиков 12–16 лет, особенно у тех, кто занимается балетной хореографией, спортивными танцами и т.д. Пациенты жалуются на боль и припухлость под коленной чашечкой. Боль усиливается при приседаниях и подъеме по лестнице

Получить консультацию

Если у вас наблюдаются подобные симптомы, советуем записаться на приём к врачу.  Своевременная консультация поможет избежать осложнений
Узнать о подробностях заболевания, стоимость лечения и записаться на приём к доктору вы можете по телефону:

8-800-555-10-42

Очеретина Ирина Геннадьевна

Причины развития

Несоответствие темпов роста и кровоснабжения

В период активного роста кости могут развиваться быстрее, чем система кровоснабжения успевает обеспечить их питательными веществами. Это создает зоны относительной ишемии

Микротравмы и повторяющиеся нагрузки

Постоянные, пусть и незначительные, травмы в области зон роста кости (эпифизов и апофизов) нарушают восстановление и ремоделирование костной ткани

Нарушения гормонального фона

Гормональный дисбаланс влияет на процессы формирования и созревания костной ткани, изменяя прочность и структуру кости

Генетическая предрасположенность

Генетически унаследованные особенности, влияющие на структуру коллагена, метаболизм костной ткани или особенности развития сосудистой системы

Недостаток питательных веществ

Дефицит кальция, фосфора и других важных для костей микроэлементов снижает прочности костной ткани.

Анатомические особенности

Вальгусная или варусная деформация конечностей, разная длина ног становятся причиной неправильного распределения нагрузки на суставы и кости

Мышечный дисбаланс

Нарушенная осанка и дисбаланс между мышцами-антагонистами смещает равномерность нагрузки на кости и суставы

Сосудистые аномалии

Нарушения в развитии или функциональности сосудов, питающих клетки костной ткани, приводят к хронической ишемии костей.

Стандартное лечение

Лечение остеохондропатии у детей

Чаще консервативное. Поражённую конечность иммобилизуют гипсовым ортезом для снижения нагрузки, назначают препараты, улучшающие кровообращение. Для разгрузки пяточной кости используют супинаторы.Также рекомендуются физиотерапевтические процедуры, стимулирующие регенерацию костей.

Лечение остеохондропатии кости бедра

Может быть хирургическим и консервативным. Выбор костно-пластических вмешательств зависит от степени разрушения костной ткани

Для лечения остеонекроза бугристости большеберцовой кости

Назначают согревающие процедуры. При выраженной боли голень фиксируют гипсовой повязкой.

Лечение остеохондропатии в 
Центре доктора Очеретиной

Есть ряд отличий в костно-мышечной системе детей, из-за которых возможно развитие остеохондропатий. Основополагающее отличие – хрящевые зоны роста в костях. Как известно, хрящ структура более эластичная, чем кость. В результате чрезмерного воздействия силы тяги на эту зону возникает раздражение зоны роста, воспаление и боль. В запущенных случаях встречаются эстетические деформации за счет костных наростов (крайне редко)

У детей мышечная и костная ткань чаще растут пропорционально, но есть мышцы, которые постоянно пребывают в спазме, функциональном укорочении и нарушают капиллярное кровоснабжение растущих костей.

Согбенная поза приводит к укорочению сгибателей туловища, формированию в их структуре триггерных точек, ведёт к круглосуточной компрессии фронтальных (передних) миофасциальных линий.

Чем раньше выявить и расправить в мышечной структуре триггеры, параллельно растянуть спрессовавшиесие мышечные волокна, тем быстрее восстановится циркуляция крови в пораженной области. Лекарства здесь бессильны. Расправить мышцу можно только руками врача и персонально полезными упражнениями. Миофасциальный массаж и кинезиотерапия – эффективные инструменты в комплексном лечении остеохондропатии

Миофасциальный массаж

Снимает напряжение с мышц и фасций, окружающих пораженные области, восстанавливая биомеханику, кровообращение и уменьшая болевой синдром. Здоровое кровообращение доставляет больше кислорода и питательных компонентов к тканям, ускоряя их заживление и восстановление.

Капилляротерапия

Компрессы и ванны со скипидаром расслабляют напряженные мышцы, ослабляют зажим бурсы и уменьшают боль. Скипидар обладает обезболивающим, противовоспалительным и рассасывающим действием.

Кинезиотерапия 

Укрепляет мышцы, поддерживающие суставы и позвоночник, улучшает подвижность и стабилизацию, постепенно восстанавливая функции поврежденных сегментов и предотвращая дальнейшее разрушение костной ткани. Упражнения также активируют кровоток и лимфоток, улучшая питание структур, окружающих область остеохондропатии, и способствуя их регенерации

Сочетание этих методов оптимизирует реабилитацию, снижает нагрузку на пораженные участки и улучшает общее состояние пациента.

Записаться на приём

Записаться на приём вы можете к травматологу-ортопеду, вертебрологу, неврологу и другим докторам клиники
Павел Очеретин - травматолог-ортопед
О методике
Экологичная методика лечения спины и суставов, разработанная и запатентованная в Федеральном Центре имени академика Г.А. Илизарова 

Профилактика остеохондропатий

Это комплексная задача, которая важна в период активного роста костей. Ее стратегия направлена на снижение рисков развития этого заболевания.

Растущему организму необходимо питание, богатое кальцием, витамином D и другими микроэлементами для здорового формирования костей и хрящей.

Следует избегать чрезмерных и повторяющихся нагрузок на суставы, особенно в возрасте активного роста. Необходимо адекватно дозировать нагрузки, давая организму время на восстановление. Желательно обучать ребенка правильной технике выполнения упражнений, чтобы снизить риски травм.

Раннее выявление и коррекция нарушений осанки и биомеханики помогает равномерно распределять нагрузку на суставы и кости

Регулярные осмотры у ортопеда, особенно в периоды активного роста, могут выявить признаки остеохондропатии на ранних стадиях и пройти профилактический курс лечения

Избыточный вес увеличивает нагрузку на суставы, повышая риск развития остеохондропатии. Поддержание стабильного веса помогает снизить нагрузку на растущие кости и хрящи

Достаточное время для отдыха и восстановления после физических нагрузок позволяет организму адаптироваться к нагрузкам и избегать переутомления

Минимизация риска травм костей и суставов играет важную роль в профилактике остеохондропатии. Следует использовать защитное снаряжение при занятиях спортом и избегать травмоопасных ситуаций

Часто задаваемые вопросы

Чем опасна остеохондропатия?

Остеохондропатия, которая на первый взгляд кажется не серьезным состоянием, несет в себе потенциальные риски и осложнения, которые влияют на качество жизни, особенно если заболевание не было своевременно диагностировано и пролечено.
  • Хроническая боль;
  • Ограничение подвижности;
  • Деформация костей и суставов;
  • Развитие артроза;
  • Хромота и нарушение походки;
  • Необходимость хирургического вмешательства;
  • Замедленное заживление переломов.

В чем отличие болезни Осгуда-Шляттера от болезни Пертеса?

Оба состояния являются остеохондропатиями, но поражают разные анатомические области, у них разные механизмы развития
Врачи
Каждый член нашей сплоченной команды будет рад прийти Вам на помощь!
Очеретина Ирина Геннадьевна

Врач травматолог-ортопед, миотерапевт, кандидат медицинских наук

Очеретин Павел Борисович

Врач восстановительной медицины, главный врач центра доктора Очеретиной. Врач команды Камаз-Мастер

Кузнецова Дарья Сергеевна
Врач спортивной медицины, терапевт. Мануальный терапевт
Злобин Антон Викторович
Мануальный терапевт
Барбашина Ольга Владимировна

 Инструктор ЛФК

Сидоров Максим
Инструктор ЛФК
Дроздова Евгения

Специалист по массажу

Тахина Ольга Викторовна

Специалист по капилляротерапии и криотерапии

Абрамов Денис Александрович
Специалист по медицинскому массажу
Лабзунов Денис
Инструктор ЛФК
Загребельная Оксана Николаевна
Врач травматолог-ортопед
Юсупова Людмила Михайловна
Медсестра по массажу
Ивлева Татьяна Викторовна
Медсестра по массажу
Савиных Валентина Владимировна
Медсестра по лечебной 
физкультуре
Алексеев Владимир Васильевич
Инструктор-методист по адаптивной физической культуре
Мальцев Олег Александрович
Массажист
Тимошевский Борис Александрович
Тренер
Хузин Ленар Анварович

Специалист по кинезиотерапии

Шикиева Алина Борисовна

Массажист

Худиев Туран Натигович

Врач травматолог-ортопед

Дмитриев Сергей Иванович

Врач травматолог-ортопед.

Врач первой категории

Пакишев Василий Валерьевич

Врач травматолог-ортопед

Джангаев Вадим Эюбович

Врач спортивной медицины

Солодовников Дмитрий Александрович

Врач травматолог-ортопед


Баталова Светлана Михайловна

Массажист

Ступенева Надежда Николаевна - Центр доктора Очеретиной
Ступенева Надежда Николаевна

Инструктор-методист по адаптивной физической культуре

Буксбаум Сергей Геннадьевич - Центр доктора Очеретиной
Буксбаум Сергей Геннадьевич

Специалист по массажу

Кузьмин Дмитрий Дмитриевич - Центр доктора Очеретиной
Кузьмин Дмитрий Дмитриевич

Инструктор-методист по лечебной физкультуре

Халаев Магомед Фарманович
Невролог, мануальный терапевт
Семёнова Евгения Владимировна
Врач спортивной медицины 
Шелгунова Марина Анатольевна
Врач спортивной медицины 
Токарев Андрей Андреевич
Специалист по массажу
Шулепов Сергей Владимирович
Шулепов Сергей Владимирович
Врач вертеброневролог, невролог
Краснояров Илья Евгеньевич
Краснояров Илья Евгеньевич
Врач спортивной медицины
Фролов Вячеслав Валерьевич
Валиев Рустам Флусович
Медицинский брат по массажу
Краснояров Илья Евгеньевич
Гумерова Эльвина Фануровна
Мануальный терапевт
Плотников Кирилл Александрович
Массажист и специалист ЛФК
Доронина Александра Андреевна
Инструктор ЛФК
Фролов Вячеслав Валерьевич
Фролов Вячеслав Валерьевич
Медицинский брат по массажу
Валиулина Кристина Наильевна
Дегтярев Андрей Эдуардович
Специалист по кинезиотерапии
Краснояров Илья Евгеньевич
Горелкин Иван Валерьевич
Врач лечебной физкультуры (врач ЛФК)
Мануальный терапевт
Кочетова Яна Сергеевна
Врач спортивной медицины и ЛФК
Ермакова Анастасия Олеговна
Врач спортивной медицины и ЛФК
Семенова Виктория Игоревна
Врач спортивной медицины и ЛФК
Мирошникова Ольга Валерьевна
Специализация по ЛФК и спортивной медицине
Турлов Андрей Андреевич
Врач вертеброневролог
Тимакова Виктория Александровна
Тимакова Виктория Александровна
Врач невролог
Байсаев Шадид Абуязидович
Байсаев Шадид Абуязидович
Врач спортивной медицины и ЛФК
Захаров Денис Сергеевич
Захаров Денис Сергеевич 
Врач травматолог-ортопед
Автономова Марина Михайловна
Автономова Марина Михайловна
Специалист по массажу
Долматова Наталья Олеговна
Долматова Наталья Олеговна
Специалист по массажу
Автономова Марина Михайловна
Громов Никита Игоревич
Специалист по кинезотерапии
Забирова Элиана Рустамовна
Забирова Элиана Рустамовна
Специалист по кинезотерапии
Латыпов Ильдар Наильевич
Латыпов Ильдар Наильевич
Специалист по кинезотерапии
Мухаметзянов Ленар Талгатович
Мухаметзянов Ленар Талгатович
Специалист по кинезотерапии
Решетникова Дарья Леонидовна
Решетникова Дарья Леонидовна
Специалист по кинезотерапии
Нотфуллина Айгуль Айратовна
Нотфуллина Айгуль Айратовна
Специалист по массажу
Аристова Ольга Андреевна
Медицинская сестра по массажу
Фролов Денис Владимирович
Медицинский брат по массажу

Отзывы

Отзывы Очеретина, Ариадна
Отзывы Очеретина, Ариадна
Отзывы Очеретина, Ариадна
Отзывы Очеретина, Ариадна
Отзывы Очеретина, Ариадна
Отзывы Очеретина, Ариадна
Отзывы Очеретина, Ариадна
Отзывы Очеретина, Ариадна
Отзывы Очеретина, Ариадна
Отзывы Очеретина, Ариадна
Отзывы Очеретина, Ариадна
Отзывы Очеретина, Ариадна
Отзывы Очеретина, Ариадна
Отзывы Очеретина, Ариадна
Отзывы Очеретина, Ариадна
Отзывы Очеретина, Ариадна
Отзывы Очеретина, Ариадна
Отзывы Очеретина, Ариадна
Отзывы Очеретина, Ариадна
Отзывы Очеретина, Ариадна
Отзывы Очеретина, Ариадна
Отзывы Очеретина, Ариадна
Отзывы Очеретина, Ариадна
Отзывы Очеретина, Ариадна
Отзывы Очеретина, Ариадна
Отзывы Очеретина, Ариадна
Отзывы Очеретина, Ариадна
Отзывы Очеретина, Ариадна
Отзывы Очеретина, Ариадна
Отзывы Очеретина, Ариадна
Отзывы Очеретина, Ариадна
Отзывы Очеретина, Ариадна
Отзывы Очеретина, Ариадна
Отзывы Очеретина, Ариадна
Отзывы Очеретина, Ариадна
Отзывы Очеретина, Ариадна

Лицензии центров Ариадна - центр доктора Очеретиной

Лицензия г.Москва:
Л041-01137-77/00323582
Лицензия г.Санкт-Петербург : 
Л041-01148-78/00579585
Лицензия г.Казань:
Л041-01181-16/00323340
Лицензия г.Тюмень:
Л041-01107-72/00319746
Лицензия г.Курган : 
Л041-01141-45/00334047
Лицензия г.Екатеринбург : 
Л041-01021-66/03839627
Лицензия г.Москва:
Л041-01137-77/00323582
Лицензия г.Санкт-Петербург : 
Л041-01148-78/00579585
Лицензия г.Казань:
Л041-01181-16/00323340
Лицензия г.Тюмень:
Л041-01107-72/00319746
Лицензия г.Курган : 
Л041-01141-45/00334047
Лицензия г.Екатеринбург : 
Л041-01021-66/03839627
Logo
8 (800) 555-10-42
Ежедневно: 09.00-21.00
  • Лечение позвоночника
  • Лечение суставов
  • Лечение сколиоза
  • Все услуги
  • О методике
  • Наши видео
  • Результаты лечения
  • Книга автора Методики
  • Упражнения для пациентов
  • Памятки для пациентов
  • Подарочные сертификаты
  • Официальные документы
    • Учредительные документы
    • Патент
    • Лицензии центров
    • Диссертации Очеретиной И.Г
      • ДИССЕРТАЦИЯ
      • АВТОРЕФЕРАТ
    • Правила посещения бассейна, сауны и аквааэробики
    • Правила Бонусной Системы
    • Программа государственных гарантий
    • Территориальный орган Росздравнадзора по Курганской области
    • Территориальный орган Росздравнадзора по Курганской области
    • Стандарты медицинской помощи и клинические рекомендации
    • Политика в отношении обработки персональных данных
    • Согласие на обработку ПД метрическими программами
  • Пользовательское соглашение
  • Методическое пособие
  • Вакансии
  • О нас
  • Мы в СМИ
Адреса клиник:
  • 123100 Москва, Шмитовский проезд, 19
  • 125009 Москва, Брюсов переулок, 2/14, стр. 1
  • 117513 Москва, Островитянова, 6
  • 199406 Санкт-Петербург, Беринга, 1
  • 196247 Санкт-Петербург, ул. Краснопутиловская, 66 к2
  • 420049 Казань, Агрономическая, 18
  • 420124 Казань, Чистопольская, 20А
  • 625000 Тюмень, Герцена, 82, корп. 1
  • 625033 Тюмень, Зелинского, 24
  • 640027 Курган, Бурова-Петрова, 120, стр. 1
  • 620026 Екатеринбург, Карла Маркса, 25
8 (800) 555-10-42
Ежедневно: 09.00-21.00
  • Лечение позвоночника
  • Лечение суставов
  • Лечение сколиоза
  • Все услуги
  • О методике
  • Наши видео
  • Результаты лечения
  • Книга автора Методики
  • Упражнения для пациентов
  • Памятки для пациентов
  • Подарочные сертификаты
  • Официальные документы
    • Учредительные документы
    • Патент
    • Лицензии центров
    • Диссертации Очеретиной И.Г
      • ДИССЕРТАЦИЯ
      • АВТОРЕФЕРАТ
    • Правила посещения бассейна, сауны и аквааэробики
    • Правила Бонусной Системы
    • Программа государственных гарантий
    • Территориальный орган Росздравнадзора по Курганской области
    • Территориальный орган Росздравнадзора по Курганской области
    • Стандарты медицинской помощи и клинические рекомендации
    • Пользовательское соглашение
    • Политика в отношении обработки персональных данных
    • Согласие на обработку ПД метрическими программами
  • Методическое пособие
  • Вакансии
  • О нас
  • Мы в СМИ
Адреса клиник:
  • 123100 Москва, Шмитовский проезд, 19
  • 125009 Москва, Брюсов переулок, 2/14, стр. 1
  • 117513 Москва, Островитянова, 6
  • 199406 Санкт-Петербург, Беринга, 1
  • 196247 Санкт-Петербург, ул. Краснопутиловская, 66 к2
  • 420049 Казань, Агрономическая, 18
  • 420124 Казань, Чистопольская, 20А
  • 625000 Тюмень, Герцена, 82, корп. 1
  • 625033 Тюмень, Зелинского, 24
  • 640027 Курган, Бурова-Петрова, 120, стр. 1
  • 620026 Екатеринбург, Карла Маркса, 25
ООО "АРИАДНА МОС"
ИНН 7751146782  ОГРН 1187746732502
Юр. адрес: 125009, Москва г, Брюсов пер, дом № 2/14, стр.1
Лицензия №Л041-01137-77/00323582 от 23 декабря 2019 года
© 2025 Центр доктора Очеретиной - Ариадна
Logo
Информация, опубликованная на сайте, предназначена только для ознакомления и не заменяет квалифицированную медицинскую помощь. Обязательно проконсультируйтесь с врачом! Медицинские организации действующие под единым брендом «Центр доктора Очеретиной - Ариадна» не несут ответственности за возможные негативные последствия, возникшие в результате использования информации, размещенной на сайте ocheretina.ru
Загрузка...
Спасибо
Мы свяжемся с вами в ближайшее время.
Получить консультацию
Спасибо
Мы свяжемся с вами в ближайшее время

Получить консультацию

Записаться на прием
Спасибо!
Мы получили Вашу заявку, в ближайшее время перезвоним

Доказанная положительная 
динамика лечения 96,7%

Адгезивный капсулит
Деформация стоп
Повреждение сухожилий
Анкилоз
Деформирующий артроз
Повреждения связок коленного сустава
Артроз
Дорсопатия
Поперечное плоскостопие
Артроз голеностопного сустава
Импиджмент-синдром
Посттравматический артроз
Артроз локтевого сустава
Искривление позвоночника
Поясничный спондилез
Артроз плечевого сустава
Киста Бейкера
Поясничный спондилоартроз
Артропатия
Кифоз
Продольное плоскостопие
Асептический некроз головки бедренной кости (АНГБК)
Кифосколиоз
Пяточная шпора
Ахиллобурсит
Коксартроз
Растяжение связок
Ахиллодиния
Контрактура Дюпюитрена
Сакроилеит
Болезнь Бехтерева
Контрактура коленного сустава
Синовит
Болезнь Блаунта
Контрактура локтевого сустава
Синовит голеностопного сустава
Болезнь Гоффа
Латеральный эпикондилит
Сколиоз
Болезнь де Кервена
Локтевой бурсит
Спондилоартроз
Болезнь Кальве
Межпозвонковая грыжа
Спондилолиз
Болезнь Келлера
Миозит
Спондилолистез
Болезнь Кинбека
Миозит мышц спины
Тендинит
Болезнь Пертеса
Нарушения осанки
Тендинит ахиллова сухожилия
Болезнь Форестье
Нестабильность позвоночника
Тендинит коленного сустава
Болезнь Шейерманна-Мау
О-образные ноги
Тендинит сустава
Болезнь Шинца
Остеоартроз (остеоартрит)
Тендовагинит
Болезнь Шляттера
Остеохондроз
Травмы коленного сустава
Бурсит
Остеохондропатии
Травмы позвоночника
Бурсит коленного сустава
Периартрит
Травмы суставов
Бурсит плечевого сустава
Периостит
Ушиб колена
Бурсит стопы 
Перихондрит
Ушиб копчика
Гигрома
Плоскостопие
Ушиб ноги
Гонартроз
Повреждение ахиллова сухожилия
Ушиб позвоночника
Грудной спондилез
Повреждение связок голеностопного сустава
Щелкающий палец (стенозирующий лигаментит)
Грыжа позвоночника
Ишиас
Эпикондилит локтевого сустава
Протрузии
Компрессионные переломы позвонков
Кривошея
Артроз коленного сустава
Артроз лучезапястного сустава
Артроз тазобедренного сустава
Адгезивный капсулит
Анкилоз
Артроз
Артроз голеностопного сустава
Артроз локтевого сустава
Артроз плечевого сустава
Артропатия
Асептический некроз головки бедренной кости (АНГБК)
Ахиллобурсит
Ахиллодиния
Болезнь Бехтерева
Болезнь Блаунта
Болезнь Гоффа
Болезнь де Кервена
Болезнь Кальве
Болезнь Келлера
Болезнь Кинбека
Болезнь Пертеса
Болезнь Форестье
Болезнь Шейерманна-Мау
Болезнь Шинца
Болезнь Шляттера
Бурсит
Бурсит коленного сустава
Бурсит плечевого сустава
Бурсит стопы 
Гигрома
Гонартроз
Грудной спондилез
Грыжа позвоночника
Протрузии
Артроз коленного сустава
Деформация стоп
Деформирующий артроз
Дорсопатия
Импиджмент-синдром
Искривление позвоночника
Киста Бейкера
Кифоз
Кифосколиоз
Коксартроз
Контрактура Дюпюитрена
Контрактура коленного сустава
Контрактура локтевого сустава
Латеральный эпикондилит
Локтевой бурсит
Межпозвонковая грыжа
Миозит
Миозит мышц спины
Нарушения осанки
Нестабильность позвоночника
О-образные ноги
Остеоартроз (остеоартрит)
Остеохондроз
Остеохондропатии
Периартрит
Периостит
Перихондрит
Плоскостопие
Повреждение ахиллова сухожилия
Повреждение связок голеностопного сустава
Ишиас
Компрессионные переломы позвонков
Артроз лучезапястного сустава
Повреждение сухожилий
Повреждения связок коленного сустава
Поперечное плоскостопие
Посттравматический артроз
Поясничный спондилез
Поясничный спондилоартроз
Продольное плоскостопие
Пяточная шпора
Растяжение связок
Сакроилеит
Синовит
Синовит голеностопного сустава
Сколиоз
Спондилоартроз
Спондилолиз
Спондилолистез
Тендинит
Тендинит ахиллова сухожилия
Тендинит коленного сустава
Тендинит сустава
Тендовагинит
Травмы коленного сустава
Травмы позвоночника
Травмы суставов
Ушиб колена
Ушиб копчика
Ушиб ноги
Ушиб позвоночника
Щелкающий палец (стенозирующий лигаментит)
Эпикондилит локтевого сустава
Кривошея
Артроз тазобедренного сустава
Ваш вопрос получен!
Ожидайте ответ врача
Шаг 1/6
Область болей, выберите ниже
Проблемы с шеей
Проблемы со спиной
Проблемы с суставами
Другие проблемы
Какие у вас жалобы на сегодняшний день?
Какое лечение ранее проводилось: были ли гормональные блокады, мануальные «вправления», хирургическое лечение?
Были ли у вас операции? Предлагается ли вам операция?
Укажите ваш:
Ваши контакты
Отправка формы
Подтвердите, что вы не робот
или нажмите Enter
Заказать обратный звонок
Спасибо!
Мы получили вашу заявку

Спасибо

Мы свяжемся с вами в ближайшее время